Ärzte: Kardiologie München

Kardiologie | Dr. med. Alexander Hierl | München

Ärzte: Kardiologie München
Bitte rufen Sie uns für genauere Informationen an.

Adresse
Am Kosttor 1
Ort
80331  München
Telefonnummer
089 232392990
E-Mail
info@dr-hierl.net
Website
www.dr-hierl.net

Informationen

HERZLICH WILLKOMMEN "Ich freue mich, Sie auf meiner Webseite begrüßen zu dürfen. Ich bin Facharzt für Kardiologie und Innere Medizin mit einer breitgefächerten Ausbildung und führe zwei Privatpraxen in München, eine sehr zentral an der Maximilianstraße, die andere äußerst verkehrsgünstig am Harras gelegen. Meine Schwerpunkte liegen nicht nur in der modernen Schulmedizin, sondern auch in der Komplementärmedizin, wie z.B. Homöopathie, Naturheilkunde, orthomolekulare Medizin, Neuraltherapie und Hypnose. Ich wähle daraus die wirkungsvollsten Therapien zum Wohle Ihrer Gesundheit. " Dr. Hierl

Keywords Premium-Checkup, 1-Tages-Premium-Check, Krebsvorsorge, Osteoporose-Screening, Burnout-Check, Anamnese, Untersuchung, Speziallabor, Hormonstatus, Halsschlagadern, Bauchorganen, maßgeschneiderte, Anti-Aging-Analyse, Stoffwechselfunktionen, Schilddrüse, DEXA, Herz, HNO, ärztliche, Vorsorgeuntersuchung, Prävention, Gesundheitsvorsorge, Nieren, Risiko-Check, Gefäß-Check, Herz-Check, EKG, Rhythmus, Herzrhythmusstörungen, Fitness-Check, Trainingsempfehlungen, Lungen, Burnout, Diagnostik, Medikamenten, Raucherentwöhnung, Alternative Therapien.

Bewertungen

Dieser Eintrag wurde noch nicht bewertet:

Öffnungszeiten

Products And Services

  • Pulswellenanalyse

    AUGMENTATIONSINDEX Die Pulswellenalanyse dient der Früherkennung von Bluthochdruck und mißt die Pulswellengeschwindigkeit als Indikator für die Gefäßsteifigkeit. Jeder Puls besteht aus zwei Pulswellen. Der erste ist die Fortleitung der Druckwelle eines Herzschlages. Eine zweite Druckwelle entsteht, weil die Pulswelle beim Übergang der Arterie in die kleinen Blutgefäße reflektiert wird. Der Druckunterschied zwischen den beiden Wellen bezeichnet man als Augmentation. Wenn die Arterienwand an Elastizität verliert, kann sich die Augmentation verschlechtern. Die reflektierte Pulswelle ist dann sogar für den Anstieg des oberen (systolischen) Blutdruckwertes mitverantwortlich. Viele ältere Menschen leiden an einer solchen isolierten systolischen Hypertonie. Der Computer errechnet aus dem Verlauf der Pulswellen einen so genannten Augmentationsindex, der wichtige Hinweise auf das Herzkreislaufrisiko liefert

    Link: Pulswellenanalyse

  • Komplementärmedizin

    ORTHOMOLEKULARE MEDIZIN In Phasen hoher körperlicher und geistiger Anstrengung sowie bei bestimmten Risikogruppen und Gesundheitsstörungen ist der Bedarf an Vitalstoffen (Vitamine, Mineralstoffe, Spurenelemente...) besonders hoch. Beispielhaft zu erwähnen sind Wachstumsphasen, Wechseljahre, Alter, chronische Erkrankungen, erhöhte Schadstoff- und Umweltbelastung oder Rauchen. Insbesondere auch während der Behandlung bösartiger Erkrankungen mittels Strahlen- oder Chemotherapie ist eine zusätzliche Behandlung mit orthomolekularer Therapie ausgesprochen sinnvoll. Die orthomolekulare Medizin fordert für diese besonders belasteten Patientengruppen statt der übliche Mindestdosierung der Vitalstoffe eine Optimaldosierung. Neben der alleinigen oder therapiebegleitenden Anwendung bei manifesten Gesundheitsstörungen spielt die vorsorgliche Gabe bei entsprechenden Risiken eine entscheidende Rolle. [mehr Informationen...] FEINSTROMTHERAPIE Die Feinstromtherapie gehört zum Grundgerüst der Naturheilkunde. Sie harmonisiert den Organismus, normalisiert die Funktion des Nervensystems, baut Stauungen im Energiefluß ab und erweitert nachhaltig die Gefäße. Wesentlich beteiligt an diesem Prozess ist der Ionenfluß, der bis in die Zellen harmonisierend wirkt. Langzeittherapeutisch wirkt sich der Feinstrom auch auf das Säure-Basen-Gleichgewicht aus. Der Elektrolythaushalt wird nachhaltig reguliert. Feinstrom wird auch in der Schmerztherapie angewendet. NEURALTHERAPIE Die Neuraltherapie zielt auf eine Beeinflussung des vegetativen Nervensystem ab. Sie eignet sich vor allem für die Therapie chronischer Schmerzzustände. Über eine feine Hohlnadel wird das Neuraltherapeutikum (zumeist ein leichtes örtliches Betäubungsmittel) an spezifische Strukturen gebracht. Oft handelt es sich hierbei um Nerven und Gefäße. Hierdurch wird u.a. Einfluss auf die Gewebedurchblutung und Schmerzwahrnehmung genommen. Die Normalisierung der Regulation über das vegetative Nervensystem führt zu einer Normalisierung der gestörten Gewebefunktionen. EIGENBLUTTHERAPIE Bei der Eigenbluttherapie wird zunächst eine geringe Menge Blut aus einer Vene entnommen und später unverändert oder nachbehandelt intramuskulär zurückgeführt. Die Eigenbluttherapie wirkt immunmodulierend. Es kommt zu einer Resistenzsteigerung und Anhebung der allgemeinen Abwehrlage. Besonders bewährt hat sich die Eigenbluttherapie bei Herzinsuffizienz, aber auch bei Infektanfälligkeit, Heuschnupfen, Neurodermitis und anderen chronischen Hauterkrankungen, Abgeschlagenheit und Leistungsabfall, Rheuma und Asthma. AKUPUNKTUR Die Akupunktur ist eine traditionelle Heilmethode, die auf eine als zweitausendjährige Geschichte zurückblicken kann. Das Therapieprinzip besteht aus der Nadelung genau definierter Punkte (Akupunkturpunkte) am Körper entweder einzeln oder in Kombination. Die meisten dieser Punkte liegen auf Leitbahnen, den sog. Meridianen, in denen nach traditioneller Vorstellung die Lebensenergie (das Qi) zirkuliert. Durch die Reizung dieser Punkte soll der Energiefluss harmonisiert werden und Ungleichgewichte innerhalb und zwischen den verschiedenen Energieformen ausgeglichen werden.

    Link: Komplementärmedizin

  • Herz-CT / Coronar-CT

    Privatpraxis Dr. Hierl Senden Kontakt und Terminvereinbarung Impressum Haftungsausschluß StartseiteDr. HierlStandorteDiagnose & TherapieSpezialsprechstundenLeistungsspektrumKontaktExpertentipsInfosLinks Von Patienten bewertet mit Note 1,2 Herz-CT / Coronar-CT Das Herz-CT liefert eine dreidimensionale Aufnahme des Herzens und zeigt im Gegensatz zu allen anderen genannten Untersuchungen die Veränderungen an der Gefäßwand direkt und schon im frühen Stadium. So kann der Arzt genau beurteilen, ob es sich um fibrösen, lipidreichen oder verkalkten Plaque handelt und ob diese Veränderungen das Gefäß einengen. Für die Untersuchung wird der Patient für ein, zwei Minuten liegend in eine CT-Röhre geschoben, die Untersuchung selbst dauert nur wenige Sekunden. Zuvor spritzt der Arzt ein Kontrastmittel in eine Armvene. Wir führen das Herz-CT nicht selber durch, sondern arbeiten mit einem spezialisierten renommierten Zentrum zusammen.

    Link: Herz-CT / Coronar-CT

  • Herzkatheter

    Der Herzkatheter ist ein dünner biegsamer Kunststoffschlauch, mit dem man den Druck in den Herzkammern und herznahen Gefäßabschnitten messen kann. Außerdem kann der Arzt über den Katheter Röntgen-Kontrastmittel einspritzen. Auf diese Weise kann er Herz- bzw. Gefäßstrukturen auf dem Monitor sichtbar machen. Bei Gefäßverengungen kann in gleicher Sitzung eine Angioplastie (Aufdehnen der Engstelle) und Stent-Implantation durchgeführt werden. Wir führen Herzkatheteruntersuchungen nicht selber durch, sondern arbeiten mit einem spezialisierten renommierten Zentrum zusammen.

    Link: Herzkatheter

  • Herz-Szintigraphie

    Auch die Szintigraphie eignet sich zur Diagnostik von Durchblutungsstörungen. Bei diesem nuklearmedizinischen Verfahren wird eine schwach radioaktive Substanz in eine Vene gespritzt. Sie verteilt sich im Körper und sammelt sich besonders im Herzmuskel an. Mit einer speziellen Kamera wird die Radioaktivität über dem Herzmuskel gemessen und graphisch dargestellt. Auf diese Weise ergibt sich ein Bild der Durchblutungsverhältnisse. Wir führen die Szintigraphie nicht selber durch, sondern arbeiten mit einem spezialisierten renommierten Zentrum zusammen.

    Link: Herz-Szintigraphie

  • Oxidativer Streß

    Wir bieten in unserer Praxis die Messung der oxidativen Belastung an. Wir benötigen dazu lediglich einen Tropfen Kapillarblut (z.B. aus der Fingerspitze). Innerhalb weniger Minuten steht fest, ob Sie mit Antioxidantien gut versorgt sind, oder ob Sie unter einer Belastung mit freien Radikalen leiden.

    Link: Oxidativer Streß

  • Labordiagnostik

    Blutuntersuchungen sind zur vervollständigung der Diagnostik meist unerläßlich. In besonderen Fällen werden aber auch Proben von Urin, Stuhl, Punktionen und Abstrichen untersucht. LABORPROFILE Basis-Labor Entzündungsparameter Rheumafaktoren Infektionsparameter Oxidativer Streß und Antioxidative Kapazität Schilddrüsenerkrankungen Herz und Gefäße Leber, Gallenblase, Bauchspeicheldrüse Nierenwerte Zuckerstoffwechsel Knochenstoffwechsel Risikoprofile Tumormarker Hormonstatus Allergiediagnostik

    Link: Labordiagnostik

  • Pulsoxymetrie

    Bei der Pulsoxymetrie werden Herzfrequenz und Sauerstoffsättigung des Blutes erfasst. Sie dient u.a. zur Therapiekontrolle bei Atemwegs- und Herzerkrankungen.

    Link: Pulsoxymetrie

  • Lungenfunktion / Bodyplethysmographie

    Die Prüfung der Lungenfunktion dient dazu, den Funktionszustand der Atemwege und der Lungen möglichst genau zu erfassen und eine Atemwegstherapie zu kontrollieren. Bei Beschwerden wie Atemnot, anhaltender Husten, Auswurf, ist eine Lungenfunktionsprüfung unbedingt angezeigt. Oft können so bereits beginnende Veränderungen in den Atemwegen festgestellt und somit eine frühzeitige Behandlung eingeleitet werden. Wir verwenden in unserer Praxis einen modernen Bodyplethysmographen, mit dem auch die Messung der Diffusionskapazität möglich ist

    Link: Lungenfunktion / Bodyplethysmographie

  • Schilddrüsensonographie

    Die Schilddrüse ist mit Ultraschall sehr gut zu untersuchen, da sie meist am Hals frei zugänglich ist. So können schon kleinste Knoten erkannt, oder Ursachen für Über- und Unterfunktion festgestellt werden.

  • Abdominelle Sonographie

    Die Sonographie des Bauches gewährt Einblicke in Leber, Gallenblase, Magen und Darm, Lymphknoten, Nieren, Milz, Bauchspeicheldrüse, Blase, Prostata, Gebährmutter und Eierstöcke, Bauchschlagader und die Gefäßversorgung der Organe.

    Link: Abdominelle Sonographie

  • Langzeit-Blutdruckmessung

    Die Langzeit-Blutdruckmessung gibt verläßlich auskunft über Ihre Blutdruckwerte tagsüber und während der Nachstunden. Die Messungen erfolgen vollautomatisch in stündlichen oder halbstündlichen Abständen. Anhand der Ergebnisse kann Ihre Blutdruck-Therapie optimal geplant werden.

    Link: Langzeit-Blutdruckmessung

  • Langzeit-EKG (Holter)

    Wenn Ihr Arzt vermutet, dass Ihr Herzrhythmus krankhaft verändert ist, wird er durch ein Langzeit-EKG, d. h. eine 24-stündige EKG-Untersuchung den Herzrhythmus weit besser beurteilen können. Sie erhalten dann ein kleines EKG-Gerät, das Sie für diesen Zeitraum, meist am Gürtel, mit sich herumtragen.

    Link: Langzeit-EKG (Holter)

  • Arterien und Venen-Doppler/Duplex

    Viele Gefäße lassen sich mittels Ultraschall sehr schön untersuchen. So kann man z.B. bereits geringste Verkalkungen in den Halsschlagadern gut erkennen.

    Link: Arterien und Venen-Doppler/Duplex

  • Streßechokardiographie

    Ähnlich wie beim Belastungs-EKG wird manchmal auch eine transthorakale Echokardiographie durchgeführt, während Sie sich auf dem Fahrradergometer oder dem Laufband belasten. Auch eine vorherige Gabe bestimmter Medikamente ist eine Variante der Stress-Echokardiographie. So kann der Arzt die Funktionsfähigkeit des Herzens bei körperlicher Anstrengung beurteilen. Diese Ultraschalluntersuchung wird auch als Stress-Echokardiographie bezeichnet.

    Link: Streßechokardiographie

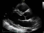
  • Echokardiographie / TEE

    Die Echokardiographie ist eine Ultraschall-Untersuchung des Herzens. Sie ist das wichtigste Untersuchungsverfahren für die Beurteilung der Herzstruktur und -funktion und gehört beispielsweise bei Verdacht auf Vorliegen einer Herzinsuffizienz zu den Standarduntersuchungen. Mit ihrer Hilfe erhält der Arzt Informationen über: die Größe der Herzkammern und Herzvorhöfe die Funktionsfähigkeit des Herzens und der Herzklappen die Dicke des Herzmuskels die Druckwerte in der Lungenarterie Bei der transthorakalen Echokardiographie wird der Ultraschallkopf außen auf die vordere Brustwand gelegt, während Sie sich auf einer Untersuchungsliege befinden. Der Arzt richtet den Ultraschallkopf nun gegen die verschiedenen Teile des Herzens aus, um ein möglichst genaues Bild aller Herzstrukturen zu erhalten, die auf einem Bildschirm angezeigt werden.

    Link: Echokardiographie / TEE

  • Ruhe-EKG

    Das EKG gehört zu den Untersuchungen, die bei Herzbeschwerden routinemäßig durchgeführt werden. Es liefert Informationen über die Herzfrequenz und den Rhythmus sowie die elektrische Aktivität von Vorhöfen und Kammern. DAS EKG, DIE STROMFLUSSKURVE DES HERZENS Wenn sich die elektrische Erregung des Sinusknotens im Herzen ausbreitet, kommt es dabei zu einem (natürlich schwachen) Stromfluss, dieser Strom ist an der Körperoberfläche nicht messbar. Jedoch verändert die Herzmuskulatur ihre elektrischen Eigenschaften wenn sie sich kontrahiert. Diese Spannungsänderungen können an der Körperoberfläche wie z. B. an der Brustwand oder an Armen und Beinen mit Elektroden gemessen werden. Die so erhaltene "Herzstromkurve" heißt Elektrokardiogramm oder kurz EKG. Sie hat eine typische Wellenform, die folgende Bedeutung hat: die P- Welle zeigt die Kontraktion der Vorhöfe der QRS-Komplex zeigt die Kontraktion der Herzkammern die T-Welle zeigt die Entspannungsphase der Herzkammern AUFZEICHNUNG DER HERZAKTIONEN Das EKG zeichnet die elektrischen Herzaktionen auf und gibt sie als Kurven wider. Die elektrischen Impulse werden mit Hilfe von Elektroden (Metallplättchen) abgeleitet. Die Elektroden werden dazu auf Armen, Beinen und Brustkorb angebracht. Das EKG-Gerät verstärkt diese Impulse und stellt sie entweder als EKG-Kurve auf einem Bildschirm dar oder druckt sie auf einem Papierstreifen aus. Bei einem Ruhe-EKG liegen Sie während der Untersuchung entspannt auf einer Liege. Das EKG gehört zu den Routineuntersuchungen, die bei Herzbeschwerden durchgeführt werden. Es liefert Informationen über die Herzfrequenz und den Rhythmus sowie die elektrische Aktivität von Vorhöfen und Kammern. Zwar kann anhand des EKGs nicht unbedingt der Schweregrad einer Herzerkrankung, beispielsweise einer Herzinsuffizienz, abgeschätzt werden, doch lassen sich häufig Hinweise auf die zugrundeliegenden Ursachen finden. EKG-VERÄNDERUNGEN Durch typische Veränderungen des EKGs kann der Arzt feststellen, ob z. B.: eine Links- oder Rechtsherzbelastung vorliegt Sie an Rhythmusstörungen leiden ein Herzinfarkt stattgefunden hat (in manchen Fällen gibt es jedoch nach einem Herzinfarkt keine EKG-Veränderungen) die Herzwände verdickt sind eine Entzündung des Herzbeutels vorliegt

    Link: Ruhe-EKG

Branchen

Ärzte: Kardiologie
089232392990 089-232392990 +4989232392990

Stadtplan Am Kosttor 1

Loading map...